05.04.2024
A major impact on young lives
People with severe non-communicable diseases need early diagnosis and then systematic treatment. This is key, particularly for children like Tawonashe.
Recalling the time before Tawonashe was part of the SolidarMed project, his mother Stella Magura recalls: “Because of hospital and medication costs, at one point we could barely even afford food for the whole family. Our monthly wages of around CHF 250 in total are not enough to feed a family of five and to pay hospital bills.” The now 10-year-old boy has had many health problems since he was born, and was always a regular at the hospital. Although his symptoms were managed as well as possible, he was never properly diagnosed.
«Our monthly wages of around CHF 250 in total are not enough to feed our family of five and also to pay hospital bills.»
Stella Magura, Tawonashe’s mother
By the time Tawonashe was nine months old, three of his family members had already died of sickle cell disease, as his aunt, who is a nurse, explains. Tawonashe also tested positive for the haemoglobin disorder.  This explained his breathing difficulties, jaundice, fatigue and chronic headaches.  
 
Once Tawonashe was diagnosed, his treatment started at Masvingo Provincial Hospital. His stays in hospital became less frequent and he suffered less pain. But the sickle cell medication was often unavailable at the hospital pharmacy, so his parents had to spend at least CHF 25 a month to buy it from a private one. Sometimes money was short so Tawonashe received too little or no medication at all. He was repeatedly hospitalised because he suffered from pain, couldn’t breathe properly and had anaemia. On top of that, he was diagnosed with type 1 diabetes in 2022.
 
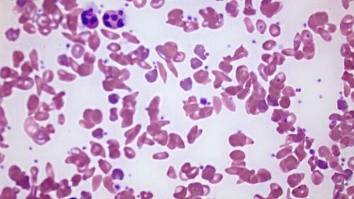
    The sickle cell disease is a genetically inherited modification in the shape of red blood cells from a smooth, doughnut shape into a half-moon shape. The misshapen cells can block small blood vessels, impairing blood flow.
Due to a lack of equipment, medicines, and qualified health workers, people with severe chronic diseases in Zimbabwe are often unable to get an accurate diagnosis or access treatment. Hypertension, diabetes, cancer and respiratory conditions are non-communicable diseases that together are responsible for a third of deaths in the country. Often, diagnosis and treatment are only available to people in urban centres, leaving impoverished rural populations without access to care.
For children, chronic diseases are a double problem.  On the one hand, there are the health issues, and on the other, the impact such diseases have on children’s futures because they have to miss school and have difficulty participating in social life and later being part of society. However, most efforts to tackle such diseases are targeted at adults.  
 
The SolidarMed project was also initially addressed at adults. Together with the World Health Organization (WHO) and the Partners in Health organisation, work is being done to firmly establish severe non-communicable diseases in primary care settings. The initiative aims to provide sufficient and appropriate medicines, technologies, and diagnostic capabilities through standardised programmes. This should improve patients’ quality of life and reduce the number of new sufferers.
A SolidarMed inspection of various healthcare facilities revealed that both the Ministry of Health and other organisations mainly focus on infectious diseases, such as tuberculosis, malaria and HIV. SolidarMed is now developing the programme in four stages in collaboration with the Ministry of Health and Child Care. In the first stage, SolidarMed set up special wards in Masvingo Hospital, Mashoko District Hospital and Ndanga District Hospital the space was renovated and specialised diagnostic equipment was procured. Currently, over 500 people are being treated for diseases such as heart disease, type 1 diabetes, asthma, epilepsy and sickle cell disease at the three clinics. And Tawonashe is one of them.
At Masvingo Provincial Hospital, where little Tawonashe was diagnosed and is receiving treatment, a training centre was also set up in a second phase. Forty-five healthcare professionals are currently learning how to treat non-communicable diseases at the centre. Besides the national postgraduate training in Masvingo, two-week clinical trainee programmes were also established. This allows nurses and junior doctors to gain practical experience. An important part of the training is to teach participants to use non-judgemental language and to empower patients to take ownership of their health in the longer term.
 
        Ten-year-old Tawonashe and his mother Stella Magura have regained hope.
To be able to measure the improvements, a study at the end of this year will look at how care for patients has changed and gauge feasibility and acceptance in the hospitals. This information will allow SolidarMed and the Ministry of Health to decide how the programme can best be implemented in other parts of Zimbabwe. The aim is to develop a plan together with partner organisations, such as the Clinton Health Access Initiative (CHAI) to roll the programme out nationally.
Since last June, Tawonashe has been receiving treatment at Masvingo Hospital thanks to SolidarMed. He now benefits from an uninterrupted supply of medication, such as insulin, painkillers and medicines for his sickle cell disease.
Laboratory tests and x-ray examinations, as well as the expertise of the qualified nurses are crucial. “I always thought that sickle cell disease was a death sentence, but now we have hope,” says Tawonashe’s mother. 
 
«Thanks to you I’ll be able to fulfil my dream of becoming a doctor one day. Thank you!»
Tawonashe Magura, 10-year-old patient
To ensure that as many health workers as possible have the knowledge to treat more children like Tawonashe, SolidarMed is expanding the two other hospitals so they can also offer traineeships. At the same time, by scaling up the project, SolidarMed is particularly focussing on young patients as this group and their specific needs have been neglected up to now.
The project hospitals are being equipped to diagnose and treat these severe chronic diseases early on. In addition, special wards are being set up just for children and adolescents where they can feel safe and at ease. This should also prevent potential infections. The project will help deliver more equitable healthcare.
And maybe, in a few years’ time, Tawonashe will be working there himself: “Thanks to you I’ll be able to fulfil my dream of becoming a doctor one day. Thank you!”
Working together to tackle diabetes
Diabetes is one of the most common non-communicable diseases worldwide. In Zimbabwe and Lesotho, SolidarMed is working with the World Diabetes Foundation to provide access to diabetes prevention, diagnosis and treatment for people in rural regions.
 
                 
                 
                 
                